JITC Digest September 2025

By JITC Publications posted 09-17-2025 13:08

  

INSIDE THIS ISSUE:

Letter from the Editor |  JITC  Editor Picks |  New Special Series |   Popular Archive Articles

Letter from the Editor

Dear  JITC   
Readers,

It’s hard to recall a time when there wasn’t a regular flow of meetings bringing researchers around the world together to learn from one another and build upon the great questions surrounding immuno-oncology. I’ve had the pleasure to attend several engaging meetings in the past few months alone, and I would like to take a moment to reflect on the 18th International Workshop on Langerhans Cells (LC2025) meeting, organized by Eynav Klechevsky at Washington University, that was held in St. Louis earlier this month.

Previously at the Baylor Institute for Immunology Research and now at Washington University, Eynav spoke at the meeting about the under-explored role of CD5 expression not only on T cells but also dendritic cells (DC). She demonstrated that she believes developing and applying agonistic antibodies holds great promise for eliciting anti-tumor responses. 

Parenthetically, Paul Langerhans was a medical student when he first identified the cells within the epidermis of the skin as ‘nerves’ within human skin. Subsequent papers from the Ralph Steinman group corrected this later in the 1980s, as epidermal myeloid DCs that could rapidly respond to breaks in the cutaneous barrier and that were capable of presenting antigen to T cells. New insights from Dan Kaplan about the important neural connections with dermal dendritic cells were presented at this meeting, starting to close the loop on the Langerhans cell, initially identified as cutaneous nerves!


IO Insights from DC

Highlights of the meeting for me included solid work addressing the persistent questions of ontogeny and development of various subsets of DCs, including cDC1, cDC2, and the more recently identified CD14+ cDC3. Also discussed were the CX3CR1(+) transitional precursor to plasmacytoid DCs (PDCs) that could give rise to both PDCs and a transitional DC 2 (tDC2) phenotype (producing IL-1β in response to virus). This work demonstrated the clear relatedness of PDC to more conventional cDCs as well as their ability to present antigen. An additional important presentation in tumor immunology came from Christophe Caux from Lyon on the production of interferon lambda/Type III IFN by XCR1+ cDC1 cells, interacting exclusively with PDC within hematopoietic lineage cells. IFNλ promotes their survival, expression of TLR7, and activation. Furthermore, he showed that it is IL-33 coming from dead and dying tumor cells that enhances NK activation that in turn promotes IL-12 production from DC within the tumor microenvironment. Niroshana Anandasabapathy focused on the role of ATACseq and open chromatin assessments to distinguish various DC subsets, also using her 227 DC signature genes to correlate individual genes with IFNγ production.

Focus on tumor cDC1s

The presence of a BatF3+, CD103+ cDC1 is critical for the health and maintenance of anti-tumor T cells within the tumor microenvironment. Complex interactions of various immune cells within the tumor microenvironment exchange various poorly understood ‘signal 5s’ to drive the efferent phase of the immune response. Although we have dissected much of the afferent limb of the immune response, focusing on signals 0-4 delivered by DCs, increasing attention to the effector phase of the immune response is necessary. I suspect a sessile DC such as a cDC1 is at the center of effective responses to tumor. In my presentation in St. Louis, I finished and questioned whether DC vaccination in the periphery, distant from the tumor, might be able to provide critical factors missing within the tumor.

JITC  Work in Progress
If you having meaningful DC work that you would like to share in JITC, I implore you to submit! Help us continue to the DC story and progress. Beyond this area, working with my predecessor, Pedro Romero, we have also commissioned a few new series for JITC including those on AI in IO and neuro-immunology in IO. These come on the heels of the recently completed ‘Next Wave of I-0’ series from SITC leadership and the SITC ‘40th Anniversary’ collection that will continue to publish throughout 2025. Learn more about those series in the special feature below.

Regards,

Michael T. Lotze, MD
Editor-in-Chief
Journal for ImmunoTherapy of Cancer

JITC   Editor Picks

Histologic and immune characterization of cutaneous immune-related adverse events induced by immune checkpoint inhibitors

Summary:

Investigators from MD Anderson examined the immune checkpoint blockade-associated immune-related adverse events (IRAE) of the skin in treated patients. Surprisingly, in 15 patients with lichenoid, morbilliform and other rashes that they profiled with a 770-gene immune panel, they demonstrated that THY1/CD90 is the most consistently up-regulated transcript. CD90 is maintained throughout vertebrate evolution (as well as being found in some invertebrates) and was the first T cell marker identified. It is encoded on chromosome 11q22.3, close to CD3 and NCAM/CD56, and expressed on many cell types including thymocytes, neurons, mesenchymal stem cells, hematopoietic stem cells, NK cells, high endothelial venules, renal glomerular mesangial cells, fibroblasts, and follicular dendritic cells (FDC). Its molecular weight is 25–37 kDa. Thus, it is the smallest of the immunoglobulin gene superfamily members, heavily N-glycosylated and glycophosphatidylinositol (GPI) anchored. They also demonstrated enrichment for so-called M2 macrophages. Although M2 macrophages have been shown to express CD90, the nature of their studies precluded demonstrating that they were the major driver for high expression of the transcript. For this DC-oriented Digest, no increase in either resting or activated DC were found, nor was there evidence of increased TH2 cells. Implications here allow consideration of targeting either CD90 or M2 macrophages specifically to limit the cutaneous IRAEs.

Overcoming immunotherapy resistance in bladder cancer with a novel antibody-drug conjugate RC48

Summary: 
Much of the current fervor in clinical IO has been on both bispecific and trispecific antibodies as well as antibody-drug conjugates (ADCs). Some have questioned whether ‘targeted agents’ such as ADCs could be considered immunotherapeutics. Still, many contend, as I do, that any effective oncologic therapy must elicit or sustain immunity to tumor. In this paper from Central South University in China, investigators explored the immunologic effects of an approved (China) ADC, disitamab vedotin, or RC48-ADC. They demonstrated that RC48-ADC reactivates immunity, reducing PD-L1 transcription. It also promotes the release of chemokines (CCL5, CXCL9, and CXCL14) and recruits cytotoxic T-lymphocytes. In preclinical mouse models, RC48-ADC synergized with CTLA-4 and PD-L1 antibodies. In patient studies, they noted that Her2/ErbB2 expression in tumors negatively correlated with the presence of DC (as well as T and NK cells). When compared to untreated patients, treatment appeared to increase all of these immune cells. ErbB2 expression was thus associated with an immunosuppressive tumor microenvironment and resistance to immunotherapy, something that has now been observed with many other so-called oncogenes such as oncogenic mutations in KRAS, Wnt/beta catenin, and p38. RC48-ADC mediates its effects by activating the Hippo pathway within tumor, thereby inhibiting the activity of the TAZ/TEAD4 transcription factor and promoting the release of chemokines.

 

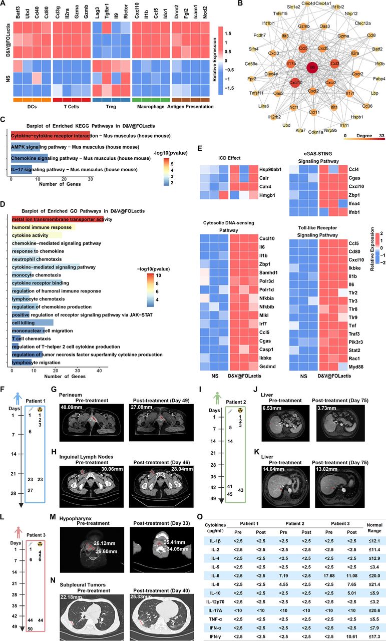
Biomineralized engineered Lactococcus lactis-based in situ vaccination enhances antitumor immunity via sequential activation of chemo-immunotherapy

Summary: 

We launched a local immunotherapy and oncolytic virus section in  JITC   five years ago. Here, authors report on a program building on previous success of using  in situ  delivery of a genetically modified bacteria,  Lactococcus lactis  to deliver FLT3 ligand and OX40 ligand at the site of tumor to expand and activate DCs. Now, they have incorporated these bacteria into a magnesium-based metal-organic framework (MOF) to further delivery of immunogenic chemotherapeutic agents, specifically cisplatin and vincristine with pH-sensitive drug release. After demonstrating the remarkable utility of combining these approaches in murine models, calling this approach D&V@FOLactis, they demonstrated a clear abscopal effect in untreated tumors. Evaluation of D&V@FOLactis-treated tumors demonstrated remarkable increases in DC expression of the costimulatory molecules, CD80 and CD86. They then moved to treat three patients with various histologic cancers with a combination of local radiation therapy and direct injection. Modest antitumor effects were noted in combined sites compared with irradiated sites that were not injected. Serum cytokines including IL-6, CXCL10, and CCL3 were found as well but not at levels that would be considered a cytokine storm.

 

HPV16 E6 and E7 expressing cancer cells suppress the antitumor immune response by upregulating KLF2-mediated IL-23 expression in macrophages

Summary: 


One of the great successes in modern cancer prevention has been the ability to immunize during adolescence, individuals to human papilloma virus serotypes associated with promoting both cervical cancer as well as head and neck cancer. The transformative ability of the oncogenic serotypes of the virus is the ability to sequester p53 and retinoblastoma protein by the transforming capabilities of the viral genes E6 and E7. Interestingly, when expressing these viral genes in B16 melanoma, the Kast group at the University of Southern California found that this enhanced the expression of IL-23 in sorted macrophages (CD11b+, F4/80+) but not DCs (F4/80, CD11c+). Enhanced, nominally immunosuppressive IL-23 was apparently induced by the Kruppel-like factor, KLF2. Both KLF2 and KLF7 have been observed in tumor-associated macrophages. KLF2 was also directly shown to serve as a transcriptional up-regulator of IL-23 by expressing the gene in RAW macrophages. IL-23+ macrophages were observed within patient HPV+ tumors but not within CD11c+ DCs. Three conserved zinc fingers of 21 or 23 amino acids are found in KLF2. Its deletion is embryonic lethal. It has a major role in T cells such that specific ablation limits emigration from the thymus but its role in macrophages has been far less studied. Recent studies from investigators at UC Berkeley have demonstrated expression in tissue resident macrophages, including embryonically derived large cavity macrophages (LCMs) within serous cavities as well as alveolar macrophages. Further evaluation and extension of the findings of Kast regarding KLF2+ macrophages in the setting of cancer are expected. Furthermore, how E6 and E7 drive tumors to recruit or sustain such macrophages is of great interest.

Two New JITC Special Series

Two SITC-related special series are now available in JITC.

The Next Wave of Immuno-oncology: A Roadmap from the Society for Immunotherapy of Cancer (SITC)

With the fifth and final publication, “Constructing the cure: engineering the next wave of antibody and cellular immune therapies,” the special series from a diverse group of experts in cancer immunotherapy and SITC leadership, “The Next Wave of Immuno-oncology: A Roadmap from the Society for Immunotherapy of Cancer (SITC),” is now complete.
This series outlines the current state of the field, elevates the most pressing challenges, and proposes the most promising opportunities for high clinical impact in the scientific, clinical, and regulatory arenas of cancer immunotherapy.
SITC Roadmap

SITC 40th Anniversary: I-O Progress and Potential

JITC      is proud to celebrate the 40th Anniversary of SITC with a special series from luminaries in the field of immuno-oncology. Numerous SITC Fellows of the Academy of Immuno-Oncology and Richard V. Smalley Memorial Award recipients put pen to paper to provide their insights into current achievements in various areas of the field while also sharing their personal, forward-looking vision of where the field is moving in the upcoming decades.
SITC 40th Anniversary: I-O Progress and Potential” will form a roadmap to the future of I-O that touches on areas of opportunity while also celebrating 40 years of SITC driving breakthroughs in cancer immunotherapy. Check the collection throughout 2025 for new publications.
40th Anniversary

Popular Archive Articles

The selections below represent some of the most popular content published in JITC over the past two years. Explore additional thematic content in JITC's Collections or access the rest of JITC's archives for a look at all the journal has to offer.

Liquid biopsy approaches to capture tumor evolution and clinical outcomes during cancer immunotherapy(19 January 2023)
REVIEW

Novel combination strategy of high intensity focused ultrasound (HIFU) and checkpoint blockade boosted by bioinspired and oxygen-supplied nanoprobe for multimodal imaging-guided cancer therapy(17 January 2023
RESEARCH

Heterogeneity in tertiary lymphoid structures predicts distinct prognosis and immune microenvironment characterizations of clear cell renal cell carcinoma (1 December 2023)
RESEARCH

Neoadjuvant sintilimab and chemotherapy in patients with potentially resectable esophageal squamous cell carcinoma (KEEP-G 03): an open-label, single-arm, phase 2 trial (9 February 2023)
RESEARCH

APC Discounts

As a way to thank the SITC members who work tirelessly to advance the science and improve the lives of cancer patients, SITC members who are first, last, or corresponding authors on JITC articles at the time of acceptance will receive discounted Article Processing Charges (APCs). This discount is applied post-acceptance, at which point a discount code is shared with the corresponding author. Learn more.

JITC also offers full waivers for the full APC (100% discount of the APC) where all authors are based in low-income countries (see policy). Requests for waivers must be made prior to submission. For additional information regarding these discounts, as well as institutional arrangements and editor/reviewer discounts, view the journal's APC policy. Additional questions may be directed to JITCEditor@sitcancer.org.

0 comments
16 views

Permalink